Pollen
This is a collection of pollen grains that I found in my garden or in nature. I arranged them to some degree by taxonomy, but you cannot infer phylogenetic relatedness by order position. Most plants are quite common so I can identify them from memory, otherwise I use the recognition software of Observation.org or Heukel’s Flora. Nevertheless, I cannot guarantee specie names are correct. Other objectives are getting more aqcuinted with my light microscope and increase my imaging skills.
Gymnospermae
Pinopsida
Pinaceae

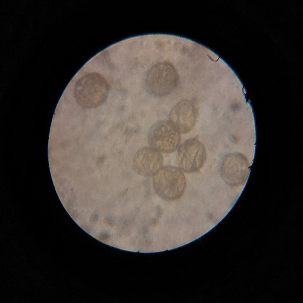
Pinus sylvestris 450x
English: Scots pine
Dutch: Grove den
Paldat entry: Pinus_sylvestris

Pinus nigra 450x
English: Black pine
Dutch: Zwarte den
Paldat entry: Pinus_nigra
Angiospermae
Ranunculales
Ranunculaceae

Helleboris niger 500x
English: Christmas rose
Dutch: Kerstroos
Paldat entry: Helleborus_niger

Eranthis hyemalis 500x
English: Winter aconite
Dutch: Winterakoniet
Paldat entry: Eranthis_hyemalis
Asterales
Asteraceae

Bellis perennis 300x
English: Common daisy
Dutch: Madeliefje
Paldat entry: Bellis_perennis

Taraxacum officinale 750x
English: Common dandelion
Dutch: Paardenbloem
Paldat entry: Taraxacum_officinale

Tripleurospermum maritimum 750x
English: False mayweed
Dutch: Reukeloze kamille
Paldat entry: https://www.paldat.org/pub/Tripleurospermum_maritimum/304630
Fagales
Betulaceae

Alnus glutinosa 750x
English: Black alder
Dutch: Zwarte els
Paldat entry: Alnus_glutinosa

Corylus avellana 750x
English: Common hazel
Dutch: Hazelaar
Paldat entry: Corylus_avellana
Asparagales
Iridaceae

Crocus tommasinianus 450x
English: Early crocus
Dutch: Boerenkrokus
Paldat entry: Crocus
Amaryllidaceae

Galanthus nivalis 750x
English: Common snowdrop
Dutch: Gewoon sneeuwvlokje
Paldat entry: Galanthus_nivalis

Narcissus sp. 750x
English: Narcissus
Dutch: Narcis
Paldat entry: Narcissus
Ericales
Ericaceae

Erica carnea 750x
English: Winter heath
Dutch: Winterheide
Paldat entry: Erica_carnea

Erica arborea 750x
English: Tree heath
Dutch: Boomheide
Paldat entry: Erica_arborea

Pieris japonicus 750x
English: Japanese andromeda
Dutch: Rotsheide
Paldat entry: Pieris_japonica
Apiales
Apiaceae

Anthriscus sylvestris 750x
English: Cow parsley
Dutch: Fluitenkruid
Paldat entry: Anthriscus_sylvestris
Brassicales
Brassicaceae

Brassica rapa 750x
English: Rapeseed
Dutch: Raapzaad
Paldat entry: Brassica
Dipsacales
Adoxaceae

Viburnum tinus 750x
English: Laurustinus
Dutch: Sneeuwbal
Paldat entry: Viburnum_tinus
Sapindales
Rutaceae

Skimmia japonica 750x
English: Skimmia
Dutch: Skimmia
Paldat entry: Skimmia_japonica
Malpighialus
Violaceae

Viola sp. 300x
English: Viola
Dutch: Viooltjes
Paldat entry: Viola